こんにちは。大阪府八尾市にある医療法人甦歯会 もりかわ歯科です。
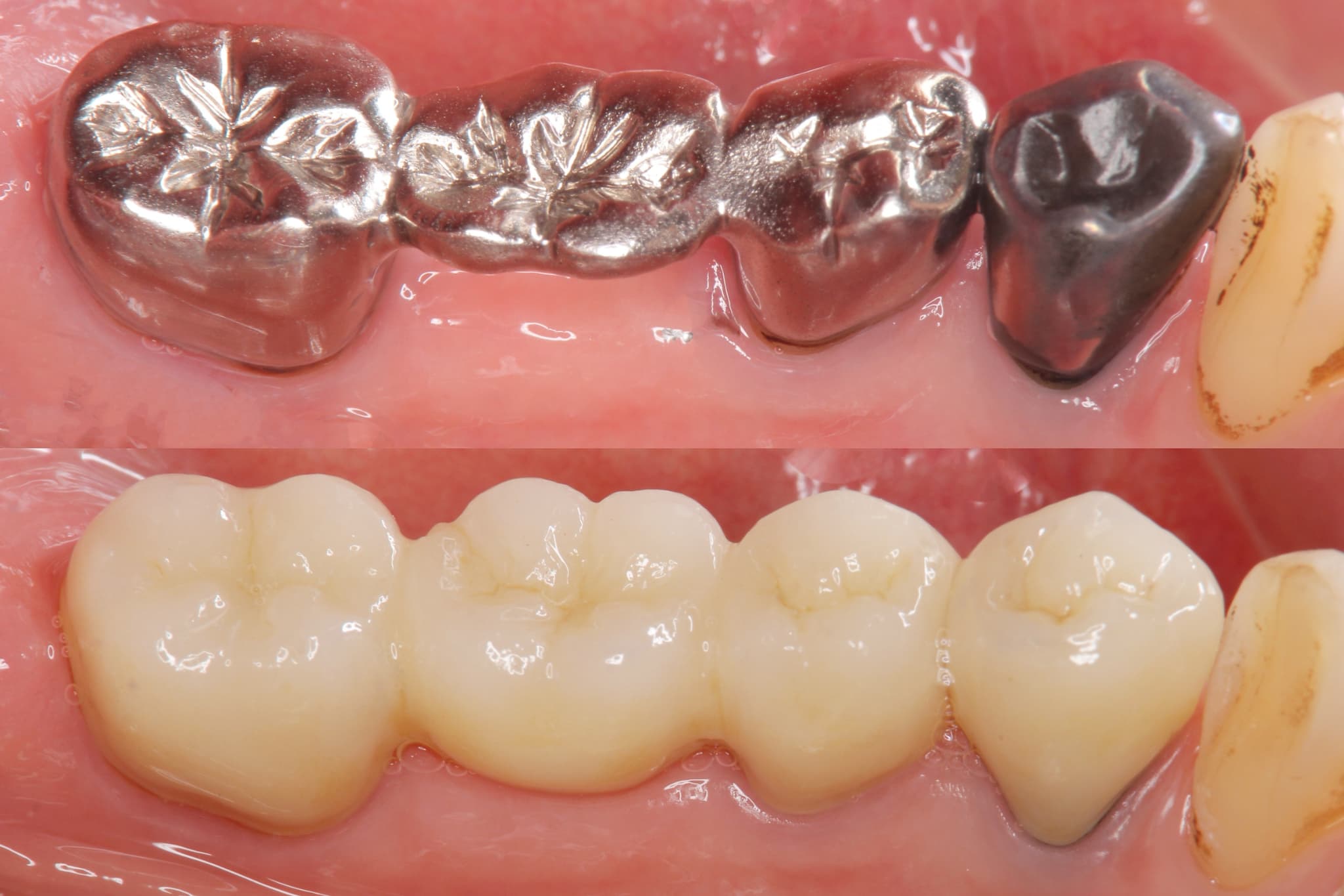
口を開けたときに見える銀歯が気になって、人前で笑うのをためらっているという方は少なくありません。特に近年は、見た目の美しさや清潔感が重視されるようになり、白い歯への関心が高まっています。
過去には虫歯治療の定番だった銀歯も、今ではより自然な見た目の素材に置き換える選択肢が増えています。保険診療で対応できるケースもあれば、審美性や機能性を重視して自費診療を選ぶことも可能です。
今回は、そもそも銀歯とは何か、どのような方法で白くできるのか解説します。銀歯を白い素材に交換したいとお考えの方は、ぜひ参考にしてください。
Contents
銀歯とは

銀歯とは、虫歯の治療後に使われる金属製の詰め物や被せ物のことを指します。一般的に金銀パラジウム合金という金属が使われており、日本の保険診療で長年にわたって採用されてきました。
この素材は、噛む力が強くかかる奥歯にも耐えられるほど丈夫で、安価に治療が行えるのが特長です。そのため、機能面を重視した治療においては非常に有効な選択肢といえるでしょう。
一方で、銀色は目立ちやすく、笑ったときや話すときに気になるという声も多くあります。また、金属による影響でアレルギーの症状が現れる可能性があることも知られています。見た目や健康面への配慮から、銀歯を白い素材に交換する治療を希望する人が増えてきています。
銀歯を白くする方法

銀歯を白くする方法には、保険診療で対応可能なものと自費診療で行うものがあります。まずはそれぞれの素材と特徴について見ていきましょう。
保険診療で銀歯を白くする場合
保険適用内で銀歯を白くできるケースもあります。これは、費用を抑えて治療したい方にとって魅力的な選択肢です。
コンポジットレジン
コンポジットレジンは、歯科用のプラスチック素材です。主に小さな虫歯の治療や前歯の修復に使われており、自然な白さが特長です。歯に直接盛りつけて形を整えることができるため、1回の通院で治療が完了する場合もあります。
ただし、強度が金属に比べて劣るため、奥歯など力がかかりやすい部位に使用すると欠けたり摩耗したりする可能性があります。そのため、日常的に硬い物を噛む習慣がある方は注意が必要です。
硬質レジン前装冠
硬質レジン前装冠は、内側に金属を使い、表側に白いレジンを貼り付けた被せ物です。主に前歯に使用され、保険診療で対応できる白い被せ物として広く使われています。
見た目は一見自然ですが、レジン部分は時間が経つと変色やすり減りが起こることがあり、長期的に使う場合には審美性に差が出ることもあります。また、内部に金属が使われているため、角度によっては光を通しにくく、天然の歯に比べるとやや不自然に見える場合もあります。
それでも、保険内で白い見た目を得られるという点は大きなメリットといえるでしょう。
自費診療で銀歯を白くする場合
自費診療では、素材や仕上がりにこだわることができ、より自然で美しい白い歯を実現することが可能です。ここでは、自費診療で銀歯を白くするときに使用される素材について解説します。
オールセラミック
オールセラミックは、すべてがセラミックでできている素材で、金属は一切使用されていません。光の透過性が高く、天然の歯のような透明感と自然な色合いが出せるため、前歯など目立ちやすい部分に使用されるケースが多いです。
また、変色しにくく長期間きれいな状態を保ちやすいという特長もあります。金属を使わないため、金属アレルギーの心配がない点も安心材料の一つです。
ただし、強い衝撃が加わると割れることがあるため、使用する部位によっては注意が必要です。
ジルコニア
ジルコニアは、非常に高い強度と耐久性を持つ素材で、白く美しい見た目も兼ね備えています。
セラミックのなかでも特に丈夫で、奥歯のように強い力がかかる部分にも使用可能です。また、金属を使用していないため、金属アレルギーの症状が現れるリスクがなく、歯ぐきへの影響も少ないとされています。
以前は色味がやや人工的に見える傾向がありましたが、現在では技術が進み、より自然な色合いに仕上げられるようになっています。耐久性と審美性のバランスを取りたい方に選ばれる傾向がある素材です。
e-max
e-maxは、ガラス系のセラミック素材で、透明感と自然な白さが特長です。特に前歯や小臼歯など、見た目を重視する部位によく使われています。色調の調整ができるため、隣の歯との調和が取りやすく、仕上がりがより自然になります。
セラミックのなかではしなやかさがあり、歯にやさしい素材といえます。部位や噛む力の状態に応じて適応が判断されるため、使用の可否については歯科医師に相談することが大切です。
メタルボンド
メタルボンドは、内側に金属のフレームを使用し、外側にセラミックを焼き付けた構造の被せ物です。金属の強度とセラミックの審美性を兼ね備えた素材で、奥歯から前歯まで幅広い部位に使われています。
長年使われてきた実績があり、耐久性にも優れていますが、金属部分が歯ぐきに透けて見えたり、金属アレルギーの症状が現れたりする可能性があります。
銀歯を白くするメリット

銀歯を白くすることで得られるメリットは、見た目の改善だけではありません。ここでは、銀歯を白い素材に交換するメリットについて解説します。
見た目が自然になる
銀歯は金属特有の色が目立つため、口を開けたときに気になることがあります。
白い素材に替えることで、周囲の歯と調和し、自然な見た目に近づけることができます。特に、会話中や笑ったときに銀色が見えるのを気にしていた方にとっては、口元に対する印象が大きく変わる可能性があります。
自信を持って人と接しやすくなるという点でも、見た目の改善は重要な要素です。
虫歯が再発しにくい
オールセラミックやジルコニアといった素材は、歯との適合性が高く、すき間ができにくい構造になっています。
これにより、細菌が入り込むリスクを減らすことができ、再び虫歯になる可能性を抑えられます。また、これらの素材は表面がなめらかで、汚れが付きにくいという特長もあり、日々の歯みがきで清潔な状態を保ちやすくなります。
変色しにくい
コンポジットレジンなど一部の素材を除き、セラミック系の素材は色の変化が起こりにくく、長い期間にわたって白さを維持しやすいという特長があります。飲食物やたばこなどによる着色がつきにくいため、治療後の見た目を気にする機会も少なくなります。
時間が経っても清潔感のある口元を保ちやすい点は、審美面において大きなメリットの一つといえるでしょう。
金属アレルギーの症状が現れる心配がない
金属を使用しない素材を選ぶことで、金属アレルギーのリスクを避けることができます。特に過去にアクセサリーでかぶれた経験がある方は、注意が必要です。
オールセラミックやジルコニアなどの金属を含まない素材は、そうした不安を軽減しやすく、安心して使用できる材料の一つです。
銀歯を白くするデメリット

銀歯を白くする治療には多くのメリットがある一方で、いくつかのデメリットも存在します。ここでは、代表的なデメリットをご紹介します。
高額な費用がかかることがある
銀歯を白い素材に替える治療では、使用する材料によっては保険が適用されません。特にオールセラミックやジルコニアなどの審美性に優れた素材は高額な費用がかかります。費用は素材の種類や治療内容によって異なるため、事前に見積もりを確認しておくことが重要です。
割れることがある
セラミックなどの白い素材は、硬くて傷がつきにくい反面、衝撃に対しては弱いという性質があります。例えば、硬いものを強く噛んだときや、歯ぎしり・食いしばりの癖がある場合には、欠けたり割れたりすることがあるのです。
ただし、治療前に噛み合わせや歯の使い方を確認し、リスクを避ける工夫を行うことで、こうしたトラブルを防ぐことができます。必要に応じてマウスピースを使用するなど、対策を取ることが大切です。
歯を削る必要がある
銀歯を白い素材に替える際には、もともとの銀歯を取り除いたあとに、新しい詰め物・被せ物を正確に装着するため、歯の表面を削る処置が行われることがあります。
削る量や方法は素材や歯の状態によって異なります。どのくらい削るか、治療後にどのような影響があるかについては、事前にしっかり説明を受け、納得したうえで治療を受けることが大切です。
まとめ

銀歯を白い素材に替える治療は、見た目の印象を良くするだけでなく、虫歯の再発リスクや金属アレルギーの不安を軽減するなど、さまざまな利点があります。保険診療でも白い素材への交換が可能であり、さらに自費診療では見た目や機能性を重視した幅広い選択肢が用意されています。
一方で、費用や治療内容、素材ごとの特性によっては注意すべき点もあります。後悔のない選択をするためには、歯科医師とよく相談し、自分の歯の状態や希望に合った素材を選ぶことが大切です。
審美歯科での治療を検討されている方は、大阪府八尾市にある歯医者「医療法人甦歯会 もりかわ歯科」にご相談ください。
当院では、虫歯・歯周病治療をはじめ、矯正治療や入れ歯・ブリッジ・インプラント治療、予防歯科などさまざまな診療を行っています。ホームページはこちら、ご予約・お問い合わせも受け付けております。






